4.8
| 403 Reviews

Kids’ growth correction for healthy airway, jawbone & dental development

Breathing, chewing, sleeping are all critical parts of every child’s growth story.

If your child has crowded teeth, snores or has a tired, open-mouthed look, there’s likely more going on than spacing – these are signs of airway restriction.

We look early. We look closely. So that for children that need help, we can act timely to guide healthy airway and jaw growth while it’s still happening.

What Some Parents See as Warning Signs and Others Write Off as “Normal”

Dr Karen learned something most parents don’t realise: the way your child breathes today is quietly shaping their face, sleep, and brain development.

You might have felt that something is not right when you start noticing small things (crowded teeth, snoring or daytime fatigue and open-mouth look etc) but were told that “They’ll grow out of it.”

Here’s the truth: You are not over-thinking. These aren’t always things kids grow out of. They are signs that growth needs gentle guidance.

The good news? The earlier we act, the gentler the approach; the better the outcome.

Red flags 🚩 list for parents to look out for

Airway Red Flags

Thumb/Pacifier/Milk bottle sucking?
Narrow V-shaped upper jaw?
Snoring / teeth grinding
Tonsil coverage > 50%?
Mouth breathing?
Visible signs of tooth wear?
Tongue Tie?
Mouth opens at rest?
Recessed or “no chin”?

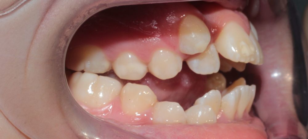
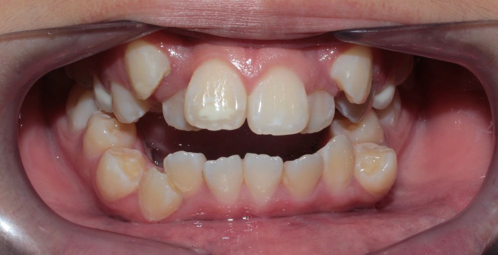
Teeth/Bone Red Flags

Class 3/Protruding chin
Full mouth of baby teeth with no spacing
Premature loss of baby molar
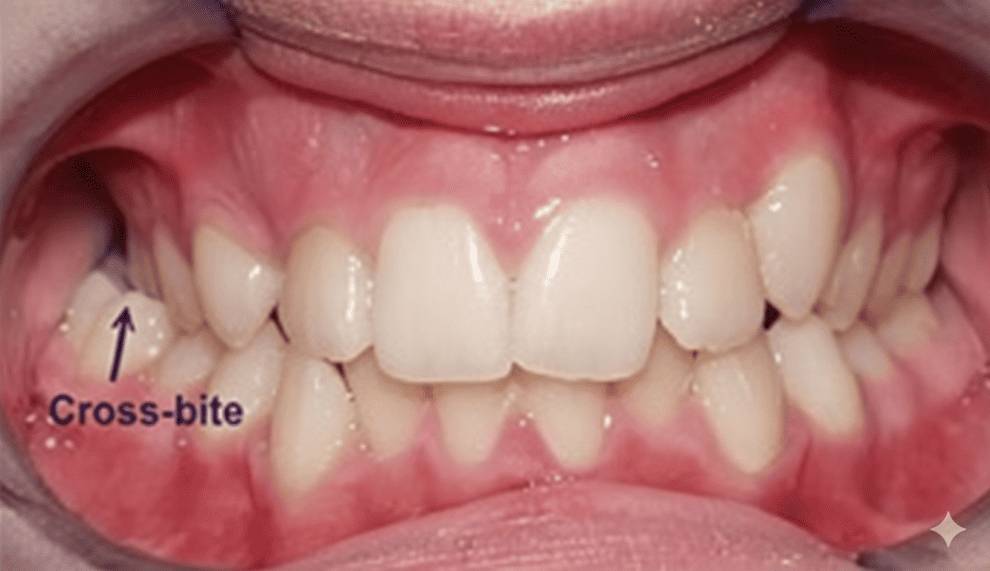
Posterior cross-bite
Facial asymmetry

How Does Growth Get Off Tracked?

Airway and jaw issues develop gradually, in ways that seem normal at first. Mouth breathing, crowded teeth, a recessed chin—these signs feel subtle because they happen slowly.

Effects of Nose Breathing VS Mouth Breathing

Nose Breathing
Tongue naturally rest on upper jawbone and guide its growth
 Well developed U-shaped upper arch

Mouth Breathing/Thumb Sucking
Tongue will not rest on upper jawbone and us unable to guide its growth
Under-developed V-Shaped upper arch
Asset 278

The Airway Connection:
Breathing Shapes the Face

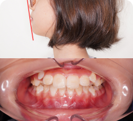
When the upper jaw doesn’t develop fully, the nasal airway becomes restricted. The result? The body compensates by altering facial growth, and your child may adjust how they breathe and even their neck posture.
See how this affected the kids:
(Left=Nose Breather ; Right=Mouth Breather)
See how this affected two sisters.
Sister
(6 years old mouth breathing)
Sister
(8-year-old mouth breathing)
THREE YEARS LATER
(Left=Nose Breather ; Right=Mouth Breather)
After changing the breathing method
Sister
(11-year-old mouth breathing)

This is why the American Association of Orthodontists recommends screening by age 7, even without obvious problems. Early assessment gives us the widest window to support healthy development.

Why Time Matters?

Once we miss the opportunity, braces can move teeth, but cannot grow bone and airway!
Upper Jawbone
Growth stop at ~8years old
Lower Jawbone
Peak growth (girl): ~12 years old
Peak growth (boy): ~14 years old
Early screening before 7yrs old is to avoid snowball effect
  • Underdeveloped upper jaw trapping and stopping the lower jaw from growing
  • Airway becoming more and more restricted
The earlier we assess and guide growth, the more gentle our approach can be.
During active growth:
  • Work with natural development
  • Use lighter forces and simpler appliances
  • Often prevent tooth extractions or surgery
Once growth is complete:
  • We can still align your child’s teeth
  • But we can no longer guide their jaw to grow
  • And jaw surgery may be necessary (especially when your child’s airway is compromised and is having sleep apnea)

A real case: A girl that came at 17

Actual patient results. Individual outcomes may vary.
Before
After

We can align her teeth but we can’t make her bone grow unless we do jaw surgery.

How We Guide Your Child's Growth

The goal is to promote natural jawbone growth that will improve airway size, breathing,
sleep quality, and overall development.

Real Patient Story

Actual patient results. Individual outcomes may vary.
Case Study 1
Lower jaw growth → Improved airway and neck posture
Age
11 years old

Parent Concern


“His upper teeth are too protruding. How can we fix this without making him suffer?”
Clinical observation
It is the under-developed lower jaw that is making the upper jaw appear protruded. 
• The child developed a turtle neck posture to open up the airway.
Treatment Approach

Promote lower jaw growth (Angel Aligner’s A6 Mandibular Advancement Solution)

Treatment simulation
*side view focus on the lower jaw advancement

Treatment Outcomes

See the improvement in neck posture after the airway is opened up with lower jaw advancement.

Before
(Turtle neck)
After

(Good, upright posture)
Before
After

Actual patient results. Individual outcomes may vary.

Case Study 2
Upper jaw growth → Corrected reverse bite
Age
9 years old

Parent Concern


“Her lower jaw covering upper jaw, how can Dr help with this?”
Clinical observation

Upper jaw is under-developed. 
Treatment Approach
Promote mid face growth (Clear Aligner + facemask)

Treatment simulation
*side view focus on the upper jaw advancement

Treatment Outcomes

Her reverse bite was corrected in just a few months! 😁

Before (March 25)
After (Sep 25)

Actual patient results. Individual outcomes may vary.

Notes: Worried your child won’t wear the mask? Kids are usually receptive! Many can even put it on by themselves and see it as a fun “new toy”!

She wants to be a dentist now and has started her own Youtube channel to talk about her own ortho journey

Dr Karen’s Message to Parents

“Over my years in practice, I’ve had countless parents tell me, “I wish I’d known about this sooner.”

Here’s what I want you to know: early screening doesn’t mean there’s an emergency. It means we’re being proactive. It means we have options.

When you bring your child to me early, during the growth years, we can guide how the jaws develop. We can create space naturally, support better airway function, and often make future orthodontic treatment simpler or even unnecessary.

If we missed the growth window and your child is already in late teens, I can still align your child’s teeth. But by then, the jawbone had finished growing. And we need to accept compromises unless we explore surgical options such as jaw lengthening or jaw reduction surgery.

This isn’t about pressure or urgency. It’s about possibility.

Why Parents Trust Dr Karen with Their Children's Development

Specialised Training:
  • Mastering Pediatric Dental Sleep Medicine (2025)
  • Progressive Orthodontic Seminar (POS), 2017-2019
  • Angel Aligner Clinical Trainer

Kids’ Growth Correction Video

Watch Dr Karen break down airway, jawbone & dental development topics and show what treatment looks like.

Join Our 1000+ Happy Clients

Whether it’s your child’s first dental appointment or a listening ear about the concerns we mentioned above. We’re here to walk that journey with you.
We had a wonderful experience with Dr. Karen at Kuo Dental. My 6-year-old had to undergo a tooth extraction, and as a parent, I was naturally a little nervous about the process. But Dr. Karen was incredibly gentle, patient, and reassuring throughout the entire appointment….
I had the opportunity to see Dr Kuo and Dr Kew during my visit to Kuo Dental with my children. Both female dentists were extremely patient and friendly towards my children and I feel very assured as they did my scaling and polishing. As the treatment was being done, the dentist would check in on whether I/my child was ok and this made it a most pleasant visit for all of us. I highly recommend this clinic 👍

My daughter had some cavities that affected the nerve, so she needed treatment.
During the treatment, the dentist explained everything to my daughter very carefully. Although there was bound to be some discomfort, the dentist kept her calm and comforted throughout the process, which I thought was fantastic! She’s a very patient dentist!
My daughter also said she really liked the dentist here.
I highly recommend this dental clinic!
我女儿因为牙齿有些蛀,影响到神经线,所以需要做疗程。
过程中医生很细心的讲解给我女儿听,虽然过程中难免会有些不适,疗程期间一直安抚我女儿的情绪,我觉得这点做得很棒!是非常有耐心的牙医医生!
女儿也说很喜欢这里的牙医姐姐
我觉得很值得推荐这间牙科!

Kids’ Growth Correction Pricing at Kuo Dental Johor Bahru.

We accept

Kid’s Early Dental Intervention Journey with Kuo Dental

1

WhatsApp Us Questions. We’re happy to help.

2

Book a screening when you feel comfortable

3

Meet Dr Karen for a jawbone growth & airway assessment

4

If your child needs treatment, we’ll share the plan, cost, and duration

5

Think About It. No pressure to commit.

6

If we’re the right fit. Come back to us when you’re ready, and we’ll work on a personalized plan for your child.

Frequently Asked Questions

An underdeveloped jawbone often means restricted airway.

Restricted airways in children, often causing chronic mouth-breathing and snoring, severely disrupt sleep quality and oxygen flow, leading to significant brain, behavioral, and physical development issues. This condition can trigger reduced growth hormone secretion, learning disabilities, and long-term cardiovascular risks.

Early screening helps us assess your child’s airway, jawbone, and dental development. By identifying potential growth issues early, timely treatment can help your child breathe better and grow better.

A growth assessment is recommended around 6–7 years old. Early assessment at Kuo Dental does not always mean immediate treatment, but it allows the dentist to monitor growth and intervene at the right time if needed. Consult Now.

Early childhood growth intervention is safe, effective, and highly recommended to correct functional habits, guide jaw growth and correct airway issues.

These procedures are tailored for children to minimize discomfort, improve long-term oral health, and prevent the need for more invasive treatments later.

Yes. Growth correction often works best when children still have baby teeth because the jaw bones are more adaptable during this stage of development.

It gets harder and harder with age but research is showing that it is still possible☺

Up to 10-11yrs old: Rapid Palatal Expander (RPE)
Up to 30s: Mini-screws Assisted Rapid Palatal Expander (MARPE)
Beyond 30s: Surgically Assisted Rapid Palatal Expansion (SARPE)

Yes, when your child adopts “bad posture” in order to breathe.

Airway issues such as restricted airway from under-developed jawbone, mouth breathing, or improper jaw development may cause a child to tilt their head forward to breathe more easily, which will affect neck posture over time.

Early treatment can help address these underlying issues, support better breathing, and encourage more natural head and neck posture as your child grows.

Many parents notice this, and while it can happen occasionally, frequent snoring or teeth grinding may signal issues such as mouth breathing, airway blockage, or bite and jaw development problems.

If it happens regularly, it’s a good idea to have your child checked early. Early assessment can help prevent potential issues with sleep quality, facial growth, and dental health later on.

No, treatment is non-invasive and anesthesia is not needed.

The lower jaw is gently guided to grow over a series of clear aligners (clear plastic that is made according to your child’s teeth to slowly guide the teeth to a better position).

The clear aligner for kids is similar to those worn by adults. But because kids are still growing, the gentle force from clear aligners can guide their jawbone to grow. They also experience less discomfort compared to adults because their bones and teeth are softer and more flexible.

Rest assured, our dentist will discuss the best option for your child before starting any treatment. Book consultation now.

The follow-up schedule depends on your child’s condition and the type of treatment needed. In most cases, follow-up visits are scheduled every 4–8 weeks to monitor progress and make adjustments.

Treatment duration can range from several months to a few years, but early intervention often helps shorten treatment time and achieve better results.

Support Your Child to Grow Healthy and Confident

Time matters! Early screening and treatment can guide proper jaw growth, improve airway, enhance bite alignment, and prevent future complications. Schedule a screening, and we’ll let you know if early action is needed during your child’s “golden period” of jawbone growth.