Using gentle micro-vibrations, we:
We carefully divide the tooth into smaller sections for easier removal and a smaller wound, helping your mouth heal faster.
After the extraction, we use laser therapy to reduce infection risk and accelerate healing.
For anxious patients, talk to us! We take your concerns seriously
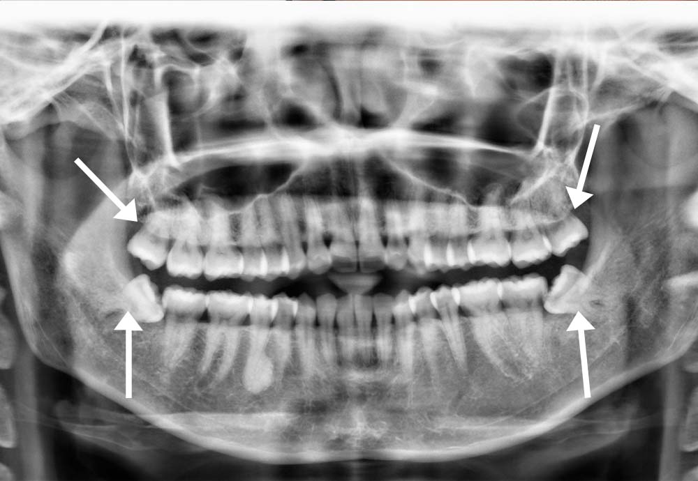
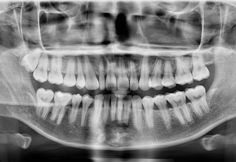
Some lower wisdom teeth can be close to the inferior alveolar nerve (which gives feeling to your lip & chin).
In rare cases, this may cause temporary symptoms such as:
These effects are usually temporary
Gentle removal with Piezo technology
Laser Biostimulation
Trustindex verifies that the original source of the review is Google. dentist very nice, scaling no pain, and super clean.Posted on CHENG CHUNTrustindex verifies that the original source of the review is Google. Good service! Recommended.Posted on Tan Chun KhuenTrustindex verifies that the original source of the review is Google. ???? service, nice and friendly staff, clean environment, good and clear explanation from Dr Kuo, recommended ????Posted on Teo Hwei HsiaTrustindex verifies that the original source of the review is Google. Friendly and trustworthy dental services by Dr. Kuo (Kuo Dental). My Son-Xander is confident with his gorgeous smile in front of the world now. Thank you. Dr. Kuo. No regret having the first trial on your dental services for my son.Posted on S GuyTrustindex verifies that the original source of the review is Google. terbaik servis.. doc kew yg baikPosted on Injet PutihTrustindex verifies that the original source of the review is Google. everyone is nice here, treatment also 10/10.Posted on cherr yeenne







After the tooth is removed, we apply laser therapy to promote clotting and healing. The site is then stitched (if needed) and covered with gauze.
Wisdom teeth may need to be removed if they are impacted, causing pain, swelling, infection, or damage to nearby teeth.
Other reasons include preventing future dental problems such as decay, gum disease, cysts, or crowding of your existing teeth.
Located in Johor Bahru? Visit our dental clinic today!
During the procedure, the area is fully numbed, so you should feel pressure but not sharp pain.
After the extraction, some soreness is normal as the body begins healing. The discomfort is usually most noticeable during the first 48–72 hours and improves gradually after that.
Most patients find it manageable with the medication and instructions provided.
“Instead of extraction, I chose root canal therapy because it’s the only molar he has left on this side to chew.”- Dr Karen
Removing all wisdom teeth at once is usually not recommended, as it may require general anesthesia and could increase certain risks.
Our approach:
Wisdom tooth removal is generally safe, but like any surgical procedure, there are some risks such as nerve irritation and infection.
In rare cases, lower wisdom teeth may be close to a nerve, which could cause temporary numbness. To improve safety, we use Piezo-assisted surgery and laser disinfection, which help protect nearby tissues and support faster healing.
The duration depends on the complexity of the case.
Some swelling is normal after wisdom tooth removal. It usually peaks around day 2 or 3, then gradually reduces over the following days.
Applying a cold compress during the first 24 hours and getting proper rest can help reduce swelling and improve comfort. In most cases, the swelling will subside within about a week.
You can start with soft foods on the same day, such as porridge, yogurt, soup, or mashed potatoes.
Over the next few days, you can gradually return to normal foods as your comfort improves.
It’s best to avoid hard, crunchy, or spicy foods for about a week to allow the extraction site to heal properly.
Many patients are able to return to light daily activities within 1–3 days.
However, it’s best to avoid heavy exercise or strenuous activity for about a week, as this may increase swelling or bleeding.
The cost for wisdom tooth surgery in Johor Bahru typically ranges from RM800 to RM1,500 per tooth, depending on the complexity of the case and whether surgery is required.
This usually includes consultation, X-rays, extraction, and medications. For more details, visit our dental clinic in Johor Bahru for a consultation!
After wisdom tooth surgery, here’s what you should take note of:
🚫 Protect the blood clot
Do NOT: Rinse forcefully, spit hard or use straw / smoke
❄️ Reduce swelling
– Ice: 1st 72hrs
– Hot pack: after 72hrs
🍴 What Can I Eat?
✔ Safe foods = soft + not hot
❌ Avoid
• Hot food (first 24h)
• Spicy, hard, or small foods (may get stuck) and alcohol
💊 Medication
✔ Take as prescribed
⚠️ Stop & call if there is allergy, vomiting or skin rash
🧼 Hygiene
• Brush other areas normally
• Avoid the wound
• Gently flush the wound with water (using syringe) to remove trapped food
🚨 When to Contact Us
❗Call us if you notice:
• Bleeding > 24 hours
• Signs of infection (Severe pain after 3 days, fever or difficulty opening mouth etc)
Let’s chat about your specific case. We’ll assess whether extraction is needed and guide you through the next steps.
Weekdays: 9AM to 6PM
Weekends: 9AM to 7PM
Off day: Thursday