Trigger: Cold/hot or sugary food
Cause: Tooth cavity (beyond Enamel) or loose filling
Trigger: Bedtime after lying down
Cause: Infection that is reaching near to the pulp
Trigger: Worse at night
Cause: Infection has invaded into tooth pulp
Trigger: When biting down or releasing a bite
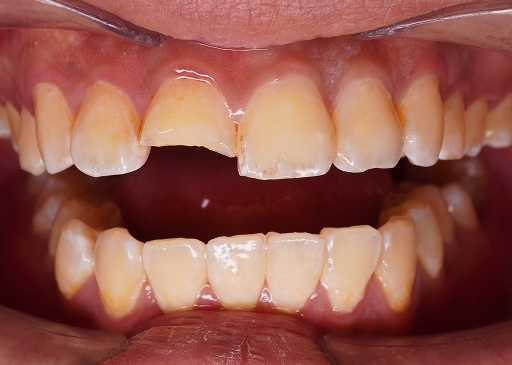
Cause: Cracked tooth
Trigger: Cold/hot or acidic food
Cause: Exposed root or eroded enamel
Still in socket: Splint (stabilize using adjacent teeth)
Knocked out: CAN BE SAVED. Protect tissue at tooth root
(Can rinse but must not scrape or wipe tooth root).
Reinsert (best) or place below tongue or in milk/saliva and see dentist ASAP (ideal: within 30min)
Disclaimer: For information only.
Always consult a dentist for diagnosis and advice.
We understand how painful and disruptive a toothache can be.
Here’s how we can help relieve your discomfort and address the underlying cause.
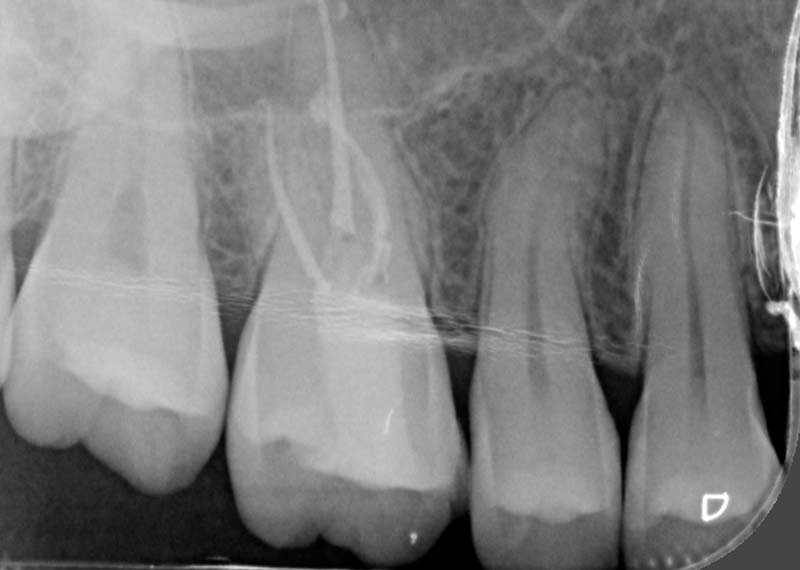
We use a digital intraoral scan to capture a detailed 3D image of your teeth and gums in real time. This helps us detect hidden issues such as cracks, gum problems, or early decay that may be causing your toothache.
For: Small to medium sized cavity
Note:
For: Large cavity
Note:
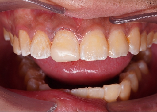
For: compromised tooth structure
Note:
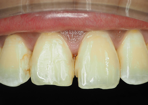
For: Sensitive tooth and safeguard against decay
Bonus:
Stop micro-caries (initial stage of tooth decay) from growing by reducing bacteria and remineralizing the enamel
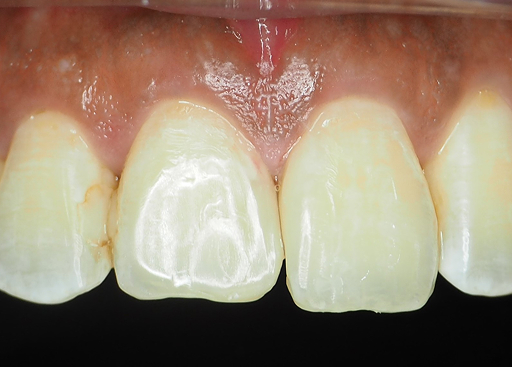
For: Sensitive tooth
Bonus:
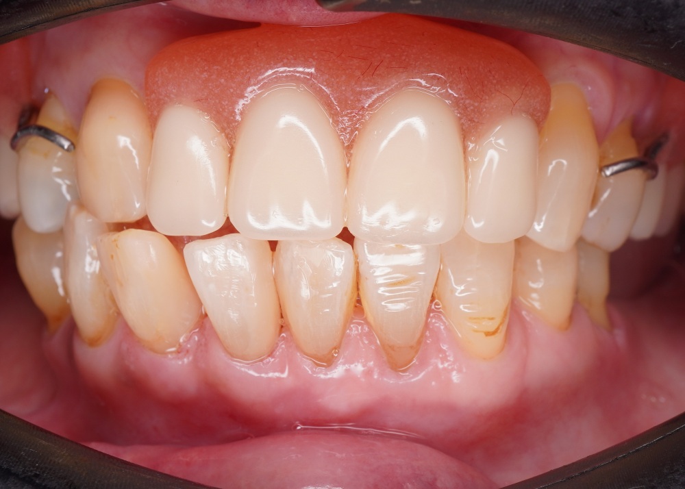
Significant aesthetic improvement for anterior teeth
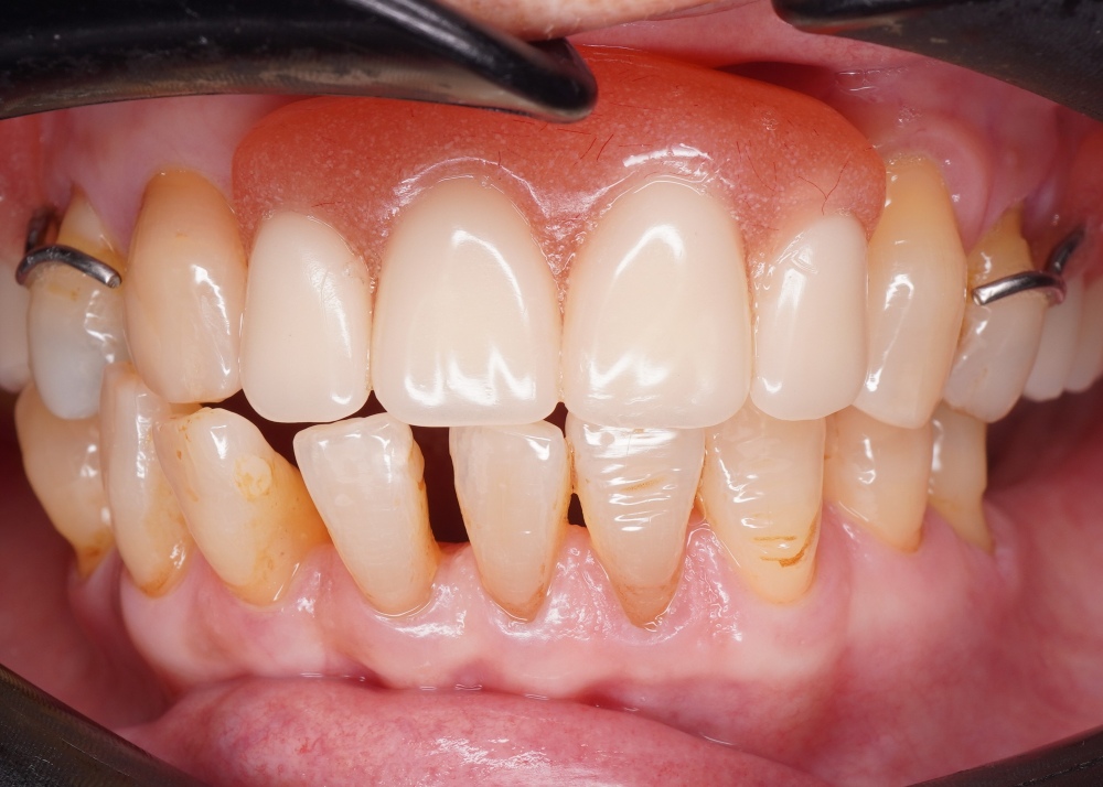
Sometimes the problem goes deeper than what we can see. When bacteria reach the inner nerve of the tooth, it can cause persistent pain or infection.
A root canal treatment (RCT) aims to remove the infection, relieves your pain, and saves your teeth.
For: Compromised pulp (decay or cracked tooth)
Note:
We strive for single visit whenever possible
We gently loosen the tooth before removal to minimise trauma to the surrounding tissues. This approach makes the procedure more comfortable, faster, and helps reduce swelling after treatment.
Note:
A knocked-out tooth is a tooth that has been completely dislodged from its socket due to injury. Immediate dental care is crucial to improve the chances of saving the tooth.
We may reposition the tooth and secure it with a dental splint to stabilise it while the surrounding tissues heal.
Trustindex verifies that the original source of the review is Google. dentist very nice, scaling no pain, and super clean.Posted on CHENG CHUNTrustindex verifies that the original source of the review is Google. Good service! Recommended.Posted on Tan Chun KhuenTrustindex verifies that the original source of the review is Google. ???? service, nice and friendly staff, clean environment, good and clear explanation from Dr Kuo, recommended ????Posted on Teo Hwei HsiaTrustindex verifies that the original source of the review is Google. Friendly and trustworthy dental services by Dr. Kuo (Kuo Dental). My Son-Xander is confident with his gorgeous smile in front of the world now. Thank you. Dr. Kuo. No regret having the first trial on your dental services for my son.Posted on S GuyTrustindex verifies that the original source of the review is Google. terbaik servis.. doc kew yg baikPosted on Injet PutihTrustindex verifies that the original source of the review is Google. everyone is nice here, treatment also 10/10.Posted on cherr yeenne





Over-the-counter pain relievers like ibuprofen or paracetamol can provide temporary relief.
However, medication only masks the pain, it doesn’t treat the underlying cause. It’s important to see a dentist to address the root problem and prevent it from getting worse. Visit our dental clinic today!
If you’re experiencing any of the warning signs we mentioned earlier (pain lasting more than 2 days, swelling, fever, or signs of infection) call us right away to prevent the issue from worsening.
Most treatments can be completed within 30 to 90 minutes, depending on the procedure. More complex cases may require 1–2 visits to fully resolve.
The cost varies depending on the cause and treatment needed, such as fillings, root canals, or extractions.
Here’s an indicative price range (as of 1/3/2026)
During your consultation, we’ll provide a clear breakdown of fees upfront so there are no surprises.
DO
DON’T
Let’s chat about your specific case. We’ll assess your condition and recommend the best treatment for you.
Weekdays: 9AM to 6PM
Weekends: 9AM to 7PM
Off day: Thursday