Disclaimer: For information only.
Always consult a dentist for diagnosis and advice.
NOTE:
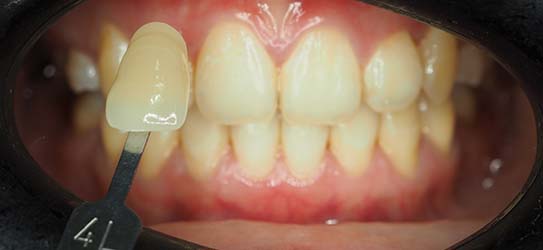
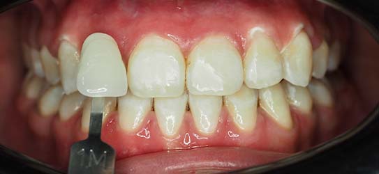
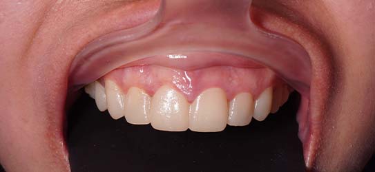
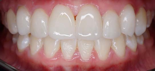
Actual patient results. Individual outcomes may vary.
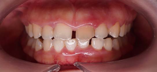
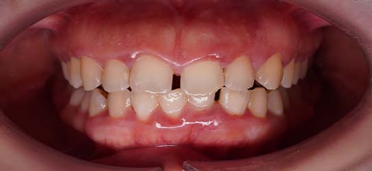
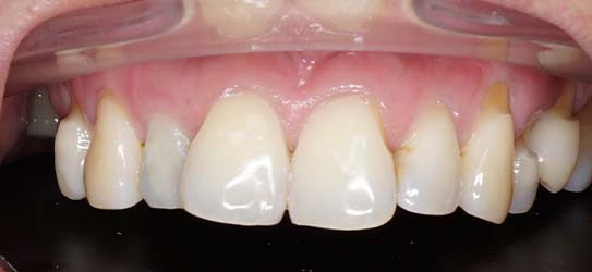
Whitening agent is placed inside the pulp chamber to whiten the tooth from the inside.
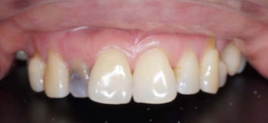
Optional Crown:
Further improve the appearance of darkened tooth
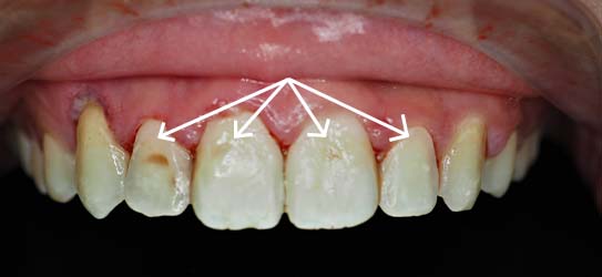
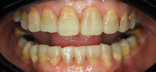
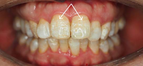
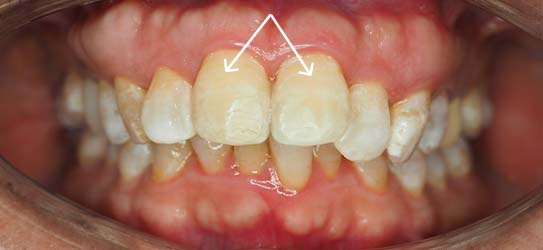
Actual patient results. Individual outcomes may vary.
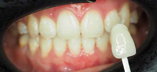
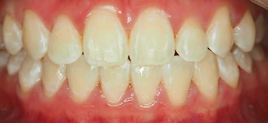
Actual patient results. Individual outcomes may vary.
Trustindex verifies that the original source of the review is Google. dentist very nice, scaling no pain, and super clean.Posted on CHENG CHUNTrustindex verifies that the original source of the review is Google. Good service! Recommended.Posted on Tan Chun KhuenTrustindex verifies that the original source of the review is Google. ???? service, nice and friendly staff, clean environment, good and clear explanation from Dr Kuo, recommended ????Posted on Teo Hwei HsiaTrustindex verifies that the original source of the review is Google. Friendly and trustworthy dental services by Dr. Kuo (Kuo Dental). My Son-Xander is confident with his gorgeous smile in front of the world now. Thank you. Dr. Kuo. No regret having the first trial on your dental services for my son.Posted on S GuyTrustindex verifies that the original source of the review is Google. terbaik servis.. doc kew yg baikPosted on Injet PutihTrustindex verifies that the original source of the review is Google. everyone is nice here, treatment also 10/10.Posted on cherr yeenne





Dr Karen: Blue light teeth whitening didn’t work for me and the experience is not exactly pleasant…
That’s why I chose to offer Laser whitening instead. Each cycle takes less time and the result is more visible. Watch now to learn more.
Coffee, tea, boba… we get it~stains happen!
But don’t worry, our Laser Whitening has you covered.
Fast, safe, and wow results in just one appointment
Teeth discoloration can be caused by certain food and drinks, smoking, poor oral hygiene, ageing, certain medications, or injury to the tooth.
Note: If you have a discoloured tooth from an injury, do see a dentist for a check and don’t assume it will heal on its own.
The colour may be a sign of an internal bruising or nerve damage. The good news is that dental treatment can restore the injured tooth in many cases. But you’ll need a dental assessment to know for sure.
Tooth color varies from person to person. Just because yours is different from someone else’s doesn’t mean there’s something wrong.
But if it is bothering you or makes you feel shy to smile, our dentist can help you assess your teeth, identify the cause of discoloration and recommend the most suitable treatment to brighten your smile. Contact us today!
Yes. Professional whitening treatments performed by a dentist are safe and effective when done correctly.
Results can last from several months to years, depending on the treatment chosen and your oral hygiene and lifestyle habits.
Certainly.
Do not be tempted by low prices. There are many cases of complications from teeth whitening or veneers performed by unlicensed or uncertified individuals.
Nothing is more important than your health and well-being. Always engage a professional dental practitioner who knows how to improve your appearance while minimizing impact to your teeth and health.
The main difference is the strength of the whitening agent.
The stronger the whitening agent, the faster and more noticeable the effect.
And store-bought whitening kits are only available in low strength to protect you.
If a high strength whitening agent is applied on teeth with cavity or on the gum, it will injure the teeth and gum.
That’s why teeth whitening done at a dental clinic would start off with scaling and polishing and then the application of protection gel on the gum.
Nothing is more important than your health. So for home whitening kit, always buy from a trusted source (pharmacy or dental clinic). And for professional whitening, never engage the service of unlicensed or uncertified individuals regardless how tempting their offer may seem.
Each whitening cycle takes around 20 minutes.
We recommend limiting or avoiding foods and drinks and foods that stain teeth, as well as tobacco use.
Some individuals may experience temporary tooth sensitivity after the procedure.
Teeth whitening only works on natural teeth. If you have implants, veneers, crowns, or bridges, these procedures might not be right for you.
If you’d like to understand your whitening options, our dentists are ready to help. Contact us today!
Let’s chat about your teeth whitening goals! We’ll assess your condition and recommend the best treatment for you.
Weekdays: 9AM to 6PM
Weekends: 9AM to 7PM
Off day: Thursday